医生提醒:身上、脸上、手上、指甲上出现伤口“长新肉”时,很多人都会忍不住用手去抠,或者频繁清洗、摩擦刺激。注意了,这是不好的行为!破口或感染长期不愈,或喜欢做日光浴的人群高发鳞状细胞癌。

指甲被鱼刺刺伤,伤口5年未愈
5年前,杭州63岁的林先生有一次做酸菜鱼剔鱼骨时,左手的无名指指甲不小心被鱼刺戳伤。“鱼刺有点粗,当时拔出来拿纸巾擦了擦血,用创可贴暂时贴了一下。”林先生回忆,做菜的人手上难免会有点伤口,而且当时血也止住了,他就没有再去处理。
之后一连几天,手指上的伤口碰到水总是隐隐作痛,而且开始红肿,他自己涂了碘伏也没用,林先生便前往附近的医院就诊。医生诊断是得了甲沟炎,出现了化脓性感染,给他开了药物进行治疗。在随后的四年里,林先生手指上的伤情反反复复,但每次通过药物治疗都能暂时缓解。
最近,他发现受伤手指的指甲盖似乎“翘起来了”,便赶紧去医院就诊。为进一步确诊,8月底林先生到医院做了磁共振检查,发现他指骨背侧有一个肿块,病理结果显示这是一个中分化的鳞状细胞癌。

创面一直未愈,风险大,要留意!
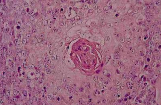
人体皮肤或器官最表面的一层皮肤在显微镜下看上去就像鳞片一样,所以称之为鳞状细胞。鳞状细胞癌可发生在皮肤、肺部、食道、口腔黏膜等覆盖鳞状皮肤的部位,发生在皮肤的鳞状细胞癌最为常见。
鳞状细胞癌是第二好发的皮肤恶性肿瘤,在老年人很常见
人老了就会出现老年斑,这很正常。但是,老年人皮肤上的斑可能发生变化,出现突起,渗出液体,甚至会糜烂,这有可能是鳞状细胞癌。
鳞状细胞癌的预后跟这种癌症的分化、所处部位、大小有关。分化越高,预后越好。皮肤的鳞状细胞癌多为高或中分化,且容易被发现,预后会比较好。但一些特殊部位,如眼周、口周、鼻周等的预后就会差一点。
鳞状细胞癌有两个特殊类型,一类是角化棘皮瘤,病史短,生长快;另一类叫鲍温氏病,属于原位鳞癌,面积会随时间增大,但很少会侵袭和转移,相对来说比较安全。
鳞状细胞癌可发生于多个部位,因而要细数它的症状,可以说非常多。很多看来很普通的身体问题,可能就是鳞状细胞癌引起的。

2020年年初,著名主持人赵忠祥就是因为罹患这种癌症而不幸去世
赵忠祥去世后,他的儿子赵方在微博上发文悼念称,父亲2019年底身体不适,就医检查发现患癌,已经扩散。有媒体从知情人士获知,赵忠祥去年12月因腿部不适,医院诊断为鳞状细胞癌。
皮肤表面慢性创面长期不愈合,在各种刺激因素的作用下就有可能癌变
一般伤口5-10年不好,癌变的风险就很大,当然还要综合创面情况以及有无刺激等因素。
为什么慢性创面长期不愈会有癌变风险?
专家解释:创面反复“受伤-愈合”的过程中,新细胞在复刻替换旧细胞的时候有发生基因突变的可能性,只要有一个细胞“变性”,癌症就找上身了。
早期鳞癌手术治愈率较理想,但如果发生远端转移,求生机会就非常渺茫了。如果皮肤总是出现破溃,尤其是一些有慢性皮肤病的人,如果伤口总是愈合不了,要及时就诊。
尤其是皮肤上出现红斑且已经角化(又厚又硬的皮)的老年人群、长期在日光照射下的人群,可以接受皮肤镜早筛。

如何及时排查和减少风险?
从上面的症状可以看出,鳞状细胞癌可以出现在多个地方,而且有不同症状。当出现像上述的一些小问题的时候,就该有所警惕,尤其是中老年人。当然,大多数时候,轻微的症状真的只是一些小问题引起的,而且很多时候,我们自己和医生无法断定是什么问题。像牙龈痛是很多人都会有的,但很难一时知道是什么原因,就归结为含义不明的上火,而且这些小问题都会自己消失的,我们不必因为一些小问题而过于紧张。
但是,如果小问题一直不好,有恶化的趋势,那么就要有所警惕,尽早去医院检查。医生会根据具体部位的可能症状做筛查。
