得了癌症,尤其是晚期癌症,许多患者最怕听到“骨转移”这三个字。
当肿瘤已经发展到癌转移阶段,即便经过一系列治疗后进入缓解期,癌症也有可能“卷土重来”。当恶性肿瘤的癌细胞通过血液循环等途径经过游走、扩散、种植到某些部位的骨组织上,就会形成骨转移癌。此时患者会产生剧烈疼痛,或形成病理性压缩性骨折,最终压迫脊髓并引发截瘫。

大约1/3的恶性肿瘤病人会发生骨转移,但也并不是所有的癌症晚期都会发生骨转移。
这5种癌症比较容易“骨转移”
目前的研究证明,有5种肿瘤比较容易发生骨转移癌。90%以上的骨转移肿瘤来源于乳腺癌、前列腺癌、肺癌、甲状腺癌和肾癌。但是,也不是这些癌症都会发生骨转移。
哪个年龄的癌症患者容易“骨转移”?
骨转移好发于中老年。据统计,在40岁以上的病例中,骨转移癌的发生率远高于原发骨肿瘤。

骨转移征兆都在这里!
1.疼痛
疼痛是最常见的症状,约占70%。疼痛的出现时间可早可晚,疼痛的性质也可轻可重,病程一般较长。
位于脊柱者可表现为腰部、胸背部、肋胸部或颈部疼痛。在胸椎者常伴单侧或双侧的肋间神经痛。在腰椎者有时可以表现出腹痛。疼痛的特点是常有变化,制动多无效,疼痛的程度越来越重,进展迅速。位于骨盆者,常伴有髋关节、股内侧疼痛;位于股骨上端及肱骨上端者常伴有关节功能障碍。
2.肿胀、包块
位于深部的骨转移肿瘤早期常不易发现包块,只反映出局部的疼痛,表浅者部分病例可见肿胀及包块,约占5%,所以因包块而就诊者极少见。
靠近关节附近的肿瘤可以引起关节功能的障碍,肿瘤增大在重要的神经附近时可以有或多或少的压迫症状,产生麻木、肌肉无力或萎缩,不少病例的诊断是在病理骨折发生时才发现了骨骼的病变,要特别引起重视。
3.压迫症状
脊柱转移肿瘤常很快出现脊髓、马尾或神经根的压迫症状,出现根性神经痛,感觉可减退,肌力减弱以至麻痹,常伴括约肌功能障碍。以麻痹为首症者约占2%,因瘫痪而入院者几乎占50%。
在骨盆者可引起直肠、膀胱的压迫症状,出现大小便功能障碍。位于肢体者亦可引起血管和神经干的压迫症状。
4.病理性骨折
常为转移性骨肿瘤的主要症状之一,有轻微外伤或根本没有任何诱因,即发生了骨折。在下肢出现率最高,一旦发生病理性骨折,疼痛加重,肿胀明显。脊柱者很快即出现截瘫。
5.全身症状
有原发癌症状者,周身情况差,常有贫血、消瘦、低热、乏力、食欲减退等。无原发癌表现者,病人全身情况常较好,部分病人如正常人一样,但很快即出现周身症状。
怎样早期发现“骨转移”?
从患者术后的病理报告就能看出“端倪”。
病理报告可以看出患者是否是骨转移高发人群,高发人群要定期复查,一般在术后三年内,建议每三个月复查一次。
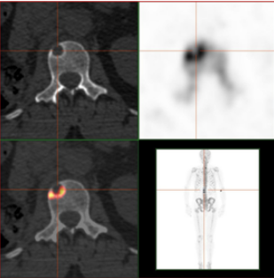
除随访外,如果患者感觉周身不适,例如某一部位感觉疼痛,应该及时寻求专科医生的帮助,进行骨扫描,以及X线、CT、核磁等影像学检查,来判断是否发生了骨转移。PET进行骨转移癌诊断可能会更全面、准确。
人一直都在与时间竞速、与生命赛跑。手术或“痊愈”后,癌症患者还得绷紧骨转移的弦。首先,身体出现骨转移症状,第一时间发现并寻求诊断,切莫讳疾忌医,对医生的误解,往往源自知识的匮乏,我们不仅要做一个“听话”的患者,更要做一个“明理”的患者。
